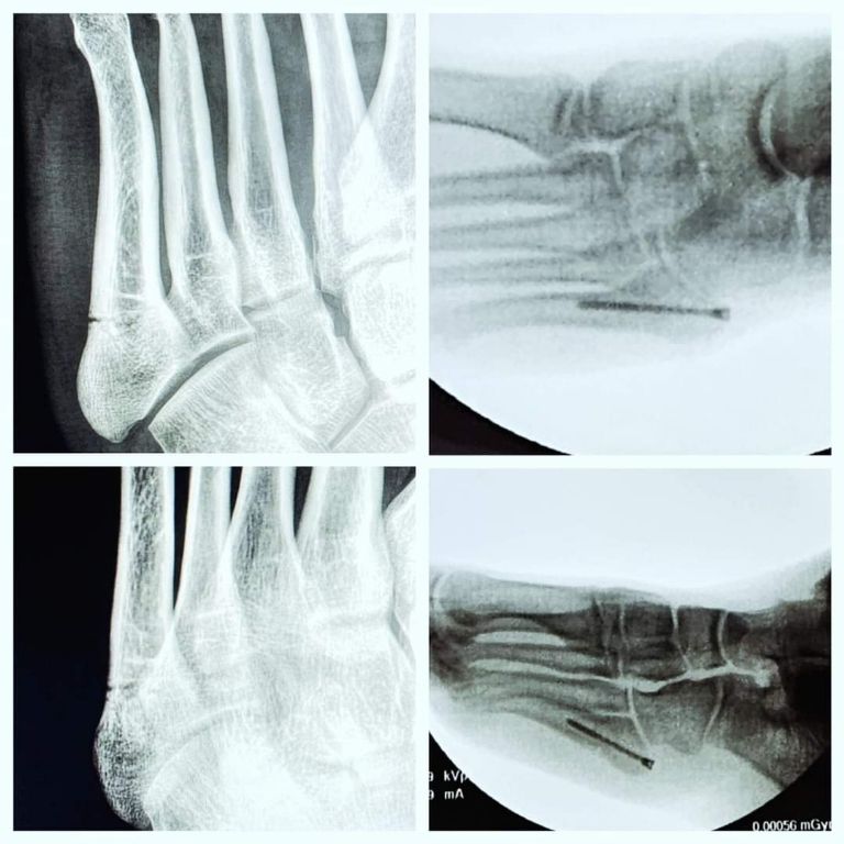
Luego de fracturarse el quinto metatarsiano de lado izquierdo durante el encuentro entre León y Cruz Azul, Fidel Ambriz fue intervenido quirúrgicamente y satisfactoriamente por lo que ha comenzado su etapa de recuperación.
El joven centrocampista de la Fiera pudo verse en la cama del hospital en donde fue operado en donde estuvo acompañado por varios de sus compañeros, entre ellos Ángel Mena, David Ramírez Y Oscar Villa.
¿Cuánto estará fuera de las canchas?

Se trata de un periodo aproximado de seis semanas de recuperación las que vivirá el futbolista nativo de León Guanajuato, por lo que esta fase ha comenzado y en la que será necesario el reposo total en la fase inicial.
Bajo esta lógica el reto para el cuerpo técnico Esmeralda será el de encontrar una media de contención que se encuentre a la altura de la exigencia del torneo, situación que hasta el momento se vislumbra complicado debido a que también se encuentran lesionados elementos tales como Andrés Guardado y recientemente el caso de Iván Rodríguez.
¿Qué es la fractura en el quinto metatarsiano?

Se trata fractura en la parte del quinto hueso metatarsiano que está más cerca de la base se llama fractura de Jones. Esta zona del hueso tiene bajo flujo sanguíneo. Esto hace que la sanación sea difícil. Una fractura por avulsión ocurre cuando un tendón desprende un fragmento óseo del resto del hueso.
IP
